Skip to content Skip to sidebar Skip to footer

Myelodysplastic Syndrome And Myelofibrosis

Myelodysplasia And Myeloproliferative Neoplasms Flashcards Quizlet

Myelodysplasia And Myeloproliferative Neoplasms Flashcards Quizlet

Myelodysplastic syndrome and myelofibrosis. Drugs used in chemotherapy such as azacytidine work in different ways to stop the growth of cancer. The myelodysplastic syndromes MDS are a heterogeneous group of bone marrow disorders characterized by ineffective and dysplastic hematopoiesis progressive bone marrow failure cytopenias and a high risk of transformation to acute myelogenous leukemia AML. This phase II trial studies how well ruxolitinib phosphate and azacytidine work in treating patients with myelofibrosis or myelodysplastic syndromemyeloproliferative neoplasm.

In myeloproliferative disorders there is an increase in the number of normal blood cells whereas in myelodysplastic disorders there is. 1 Patients with MDS can develop severe anemia and require blood transfusionsIn some cases the disease worsens and the patient develops cytopenias low blood counts caused by progressive bone marrow. These abnormal cells grow quickly and cause scaring in the bone marrow and chronic inflammation.

3 myelofibrosis with cellular marrow. Myelodysplastic Syndromes MDS and Primary Myelofibrosis. AZD1775 in Advanced Acute Myeloid Leukemia Myelodysplastic Syndrome and Myelofibrosis The safety and scientific validity of this study is the responsibility of the study sponsor and investigators.

Ruxolitinib phosphate may stop the growth of cancer cells by blocking some of the enzymes needed for cell growth. Myelodysplastic Syndrome MDS is a group of disorders that gradually affect the ability of a persons bone marrow semi-liquid tissue present in many bones like backbones to produce normal blood cells. People with MDS have low numbers of red blood cells anemia and the cells may have a.

Iron-Deficiency and Sickle-Cell Anemias. 1 pancytopenia with less than 5 blasts in the peripheral blood. Myelodysplastic syndrome with myelofibrosis.

Seven cases of myelodysplastic syndrome with myelofibrosis which is defined using the following criteria. Myelodysplastic syndrome MDSMPN overlap syndromes include several uncommon myeloid malignancies that have symptom burdens and proliferative features seen in MF and are characterized by dysplastic features of MDSs. 4 absence of diffuse.

Preconception Care First Prenatal Visit and Follow-Up Visits. Myelodysplastic syndrome as a major primary disorder for acute myelofibrosis.

Myelofibrosis Myelodysplastic Syndrome Symptoms And Causes

Myelofibrosis Myelodysplastic Syndrome Symptoms And Causes

Myelodysplastic Syndromes Moving Towards Personalized Management Haematologica

Myelodysplastic Syndromes Moving Towards Personalized Management Haematologica

Myelodysplastic Syndrome Mds

Myelodysplastic Syndrome Mds

Myelodysplastic Syndrome Mds And Myelofibrosis Syndromes Whats Next

Myelodysplastic Syndrome Mds And Myelofibrosis Syndromes Whats Next

Myelodysplasia And Myeloproliferative Disorders In Childhood An Update Emanuel 1999 British Journal Of Haematology Wiley Online Library

Myelodysplasia And Myeloproliferative Disorders In Childhood An Update Emanuel 1999 British Journal Of Haematology Wiley Online Library

Myeloproliferative Disorders Myelodysplastic Syndromes Flashcards Quizlet

Myeloproliferative Disorders Myelodysplastic Syndromes Flashcards Quizlet

Myelofibrosis With Myeloid Metaplasia Nejm

Myelofibrosis With Myeloid Metaplasia Nejm

Myelodysplastic Syndrome Mds

Myelodysplastic Syndrome Mds

Ron Reblando On Twitter Gern Slides Available For Today S Stifel 2018 Healthcare Conference Webcast Starting At 2pm Est Covers Imbark Myelofibrosis Mf Imerge Myelodysplastic Syndromes Mds Imetelstat Vs Luspatercept Etc Https T Co

Ron Reblando On Twitter Gern Slides Available For Today S Stifel 2018 Healthcare Conference Webcast Starting At 2pm Est Covers Imbark Myelofibrosis Mf Imerge Myelodysplastic Syndromes Mds Imetelstat Vs Luspatercept Etc Https T Co

Malignant Hematopoiesis 1 Ppt Video Online Download

Malignant Hematopoiesis 1 Ppt Video Online Download

Bone Marrow Fibrosis In Myelofibrosis Pathogenesis Prognosis And Targeted Strategies Haematologica

Bone Marrow Fibrosis In Myelofibrosis Pathogenesis Prognosis And Targeted Strategies Haematologica

Chapter 35 Myeloproliferative Disorders And Myelodysplastic Syndromes Semantic Scholar

Chapter 35 Myeloproliferative Disorders And Myelodysplastic Syndromes Semantic Scholar

Dr On Air Facebook

Dr On Air Facebook

Classification And Diagnosis Of Myeloproliferative Neoplasms The 2008 World Health Organization Criteria And Point Of Care Diagnostic Algorithms Leukemia

Classification And Diagnosis Of Myeloproliferative Neoplasms The 2008 World Health Organization Criteria And Point Of Care Diagnostic Algorithms Leukemia

Jak2 And Mpl Mutation Screening What Are The Indications And How To Interpret The Results The Asco Post

Jak2 And Mpl Mutation Screening What Are The Indications And How To Interpret The Results The Asco Post

Myelodysplastic Syndromes Osmosis

Myelodysplastic Syndromes Osmosis

Myeloproliferative Disorder Myelofibrosis

Myeloproliferative Disorder Myelofibrosis

Myelofibrosis Armando Hasudungan

Myelofibrosis Armando Hasudungan

Myelodysplastic Syndromes Causes Symptoms Diagnosis Treatment Pathology Youtube

Myelodysplastic Syndromes Causes Symptoms Diagnosis Treatment Pathology Youtube

Revlimid Shows Promise In Treatment Of Myelofibrosis With Myeloid Metaplasia Cancerconnect

Revlimid Shows Promise In Treatment Of Myelofibrosis With Myeloid Metaplasia Cancerconnect

Myelodysplastic Syndrome With Myelofibrosis Transformed To A Precursor B Cell Acute Lymphoblastic Leukemia A Case Report With Review Of The Literature Topic Of Research Paper In Clinical Medicine Download Scholarly Article Pdf

Myelodysplastic Syndrome With Myelofibrosis Transformed To A Precursor B Cell Acute Lymphoblastic Leukemia A Case Report With Review Of The Literature Topic Of Research Paper In Clinical Medicine Download Scholarly Article Pdf

Myeloid Leukemias Myelodysplasia And Myeloproliferative Syndromes Hematology And Oncology Harrisons Manual Of Medicine 18th Ed

Myeloid Leukemias Myelodysplasia And Myeloproliferative Syndromes Hematology And Oncology Harrisons Manual Of Medicine 18th Ed

Pdf Myelodysplastic Syndrome With Myelofibrosis In A 12 Year Old Patient A Case Report

Pdf Myelodysplastic Syndrome With Myelofibrosis In A 12 Year Old Patient A Case Report

1

1

Myelodysplastic Syndrome

Myelodysplastic Syndrome

Myelodysplastic Myeloproliferative Neoplasm Overlap Syndromes Chapter 14 Managing Myeloproliferative Neoplasms

Myelodysplastic Myeloproliferative Neoplasm Overlap Syndromes Chapter 14 Managing Myeloproliferative Neoplasms

Myelodysplastic Syndrome Mds Between The Normal And The Acute Leukemia Youtube

Myelodysplastic Syndrome Mds Between The Normal And The Acute Leukemia Youtube

Myelodysplastic Syndrome Wikipedia

Myelodysplastic Syndrome Wikipedia

Hematologic Improvements In A Myelodysplastic Syndromes With Myelofibrosis Mds F Patient Treated With Azacitidine Sciencedirect

Hematologic Improvements In A Myelodysplastic Syndromes With Myelofibrosis Mds F Patient Treated With Azacitidine Sciencedirect

2

2

Hypocellular Myelodysplastic Syndrome With Myelofibrosis In Acute Myeloid Leukemia Transformation A Case Report

Hypocellular Myelodysplastic Syndrome With Myelofibrosis In Acute Myeloid Leukemia Transformation A Case Report

Myelodysplastic Syndrome Disease Malacards Research Articles Drugs Genes Clinical Trials

Myelodysplastic Syndrome Disease Malacards Research Articles Drugs Genes Clinical Trials

Luspatercept For The Treatment Of Anemia In Myelodysplastic Syndromes And Primary Myelofibrosis Sciencedirect

Luspatercept For The Treatment Of Anemia In Myelodysplastic Syndromes And Primary Myelofibrosis Sciencedirect

Myelodysplastic Syndromes The Lancet

Myelodysplastic Syndromes The Lancet

Myelodysplastic Syndromes Version 2 2017 Nccn Clinical Practice Guidelines In Oncology In Journal Of The National Comprehensive Cancer Network Volume 15 Issue 1 2017

Myelodysplastic Syndromes Version 2 2017 Nccn Clinical Practice Guidelines In Oncology In Journal Of The National Comprehensive Cancer Network Volume 15 Issue 1 2017

Myelodysplastic Syndromes Moving Towards Personalized Management Haematologica

Myelodysplastic Syndromes Moving Towards Personalized Management Haematologica

File Myelodysplastic Syndrome Mds Agnogenic Myeloid Metaplasia Myelofibrosis Karyotype Jpg Wikidoc

File Myelodysplastic Syndrome Mds Agnogenic Myeloid Metaplasia Myelofibrosis Karyotype Jpg Wikidoc

Myeloproliferative Neoplasms

Myeloproliferative Neoplasms

Cytogenetic Studies Of Brazilian Pediatric Myelodysplastic Syndrome Cases Challenges And Difficulties In A Large And Emerging Country

Cytogenetic Studies Of Brazilian Pediatric Myelodysplastic Syndrome Cases Challenges And Difficulties In A Large And Emerging Country

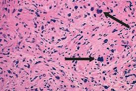
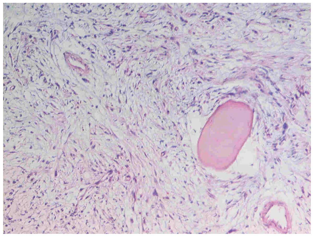
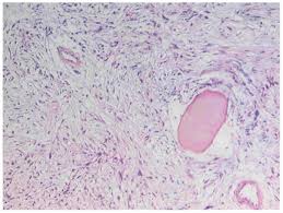
Pathology Outlines Primary Myelofibrosis

Pathology Outlines Primary Myelofibrosis

Urinary Hepcidin Excretion In Patients With Myelodysplastic Syndrome And Myelofibrosis Winder 2008 British Journal Of Haematology Wiley Online Library

Urinary Hepcidin Excretion In Patients With Myelodysplastic Syndrome And Myelofibrosis Winder 2008 British Journal Of Haematology Wiley Online Library

Myelodysplastic Syndromes Nejm

Myelodysplastic Syndromes Nejm

Bone Marrow Fibrosis In Patients With Primary Myelodysplastic Syndromes Has Prognostic Value Using Current Therapies And New Risk Stratification Systems Modern Pathology

Bone Marrow Fibrosis In Patients With Primary Myelodysplastic Syndromes Has Prognostic Value Using Current Therapies And New Risk Stratification Systems Modern Pathology

Malignant Hematopoiesis 1 Myeloproliferative Disorders Emanuel Neas Necascesnet

Malignant Hematopoiesis 1 Myeloproliferative Disorders Emanuel Neas Necascesnet

2

2

Uzivatel Ron Reblando Na Twitteru Gern Slides Available For Today S Stifel 2018 Healthcare Conference Webcast Starting At 2pm Est Covers Imbark Myelofibrosis Mf Imerge Myelodysplastic Syndromes Mds Imetelstat Vs Luspatercept Etc Https T

Uzivatel Ron Reblando Na Twitteru Gern Slides Available For Today S Stifel 2018 Healthcare Conference Webcast Starting At 2pm Est Covers Imbark Myelofibrosis Mf Imerge Myelodysplastic Syndromes Mds Imetelstat Vs Luspatercept Etc Https T

Acute Panmyelosis With Myelofibrosis Disease Malacards Research Articles Drugs Genes Clinical Trials

Acute Panmyelosis With Myelofibrosis Disease Malacards Research Articles Drugs Genes Clinical Trials

Myelodysplastic Syndrome With Myelofibrosis Transformed To A Precursor B Cell Acute Lymphoblastic Leukemia A Case Report With Review Of The Literature

Myelodysplastic Syndrome With Myelofibrosis Transformed To A Precursor B Cell Acute Lymphoblastic Leukemia A Case Report With Review Of The Literature

1

1

Copper Ring sideroblasts present.

3 myelofibrosis with cellular marrow. Preconception Care First Prenatal Visit and Follow-Up Visits. Ruxolitinib phosphate may stop the growth of cancer cells by blocking some of the enzymes needed for cell growth. The Myelodysplastic Syndrome MDS is a term for a group of frequent malignant stem cell diseases mainly encountered in older individuals. Myelodysplastic Syndrome MDS is a group of disorders that gradually affect the ability of a persons bone marrow semi-liquid tissue present in many bones like backbones to produce normal blood cells. 1 Thrombocytopenia is identifiable in up to two thirds of patients with MDS with severe thrombocytopenia present in about. These abnormal cells grow quickly and cause scaring in the bone marrow and chronic inflammation. The myelodysplastic syndromes MDS are a heterogeneous group of bone marrow disorders characterized by ineffective and dysplastic hematopoiesis progressive bone marrow failure cytopenias and a high risk of transformation to acute myelogenous leukemia AML. 2 minimal or no splenomegaly.


This phase II trial studies how well ruxolitinib phosphate and azacytidine work in treating patients with myelofibrosis or myelodysplastic syndromemyeloproliferative neoplasm. The Myelodysplastic Syndrome MDS is a term for a group of frequent malignant stem cell diseases mainly encountered in older individuals. Researchers believe that myelofibrosis is caused by abnormal stem cells in the bone marrow. Myelofibrosis and Myelodysplastic Syndrome like low blood counts can be treated with blood transfusions where red blood cells or platelets are replaced. In a retrospective study of 236 patients with primary myelodysplastic syndromes MDS 130 cases 551 revealed myelofibrosis in bone marrow biopsies. This phase II trial studies how well ruxolitinib phosphate and azacytidine work in treating patients with myelofibrosis or myelodysplastic syndromemyeloproliferative neoplasm. 1 pancytopenia with less than 5 blasts in the peripheral blood.

Post a Comment for "Myelodysplastic Syndrome And Myelofibrosis"